
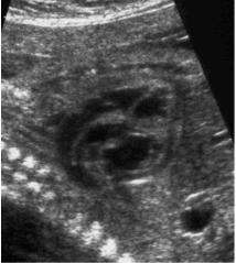
La Ecocardiografía Fetal es la ciencia que, mediante el uso de la ecografía, nos permite diagnosticar la mayor parte de las alteraciones del sistema cardiovascular del bebé dentro del vientre materno. Mediante una inocua ecografía, similar a las realizadas en las embarazadas durante su seguimiento obstétrico pero centrada en el corazón, es posible dar un diagnóstico y muchas veces el pronóstico de la anomalía congénita más frecuente: las alteraciones cardíacas.
A partir de las 18-20 Semanas de gestación ya podemos vislumbrar la mayoría de las partes del corazón con cierta eficacia, a pesar de que el 100% de las alteraciones cardíacas no se pueden descartar por las peculiaridades de la fisiología de la circulación del corazón dentro del útero materno.
Normalmente es el ginecólogo quien nos deriva a las mamás para un estudio más detallado del corazón, ante alguna anomalía observada en la segunda ecografía obstétrica. Hay múltiples criterios de derivación, entre los cuales se encuentran, por ejemplo, los antecedentes familiares de enfermedades del corazón, translucencia nucal aumentada (lo que se conoce como pliegue nucal), diabetes o lupus materno, o incluso edad materna mayor de 35 años si no se ha realizado estudio genético del bebé.
En estas páginas encontraréis artículos relacionados con el tema y una página de contacto para plantear posibles dudas. Por supuesto me tenéis a vuestra disposición en mi consulta de cardiología infantil y ecocardiografía fetal cuando necesitéis afinar/descartar cualquier alteración cardíaca antes del nacimiento (y después claro está), así como apoyo o consejo prenatal relacionado con el corazón del futuro bebé.